Casuarina Square Dental Care
A Great Dentist
Ongoing construction will be taking place at Casuarina Square from 21st July 2025 (Find out more here). From 28th July, there will be only one access point to the clinic.

You can approach this entrance via the accessible car park off Linton Street or by walking through the centre. See further instructions here.

We’ll keep you updated on our website as works progress. Thank you for your understanding!

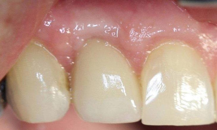
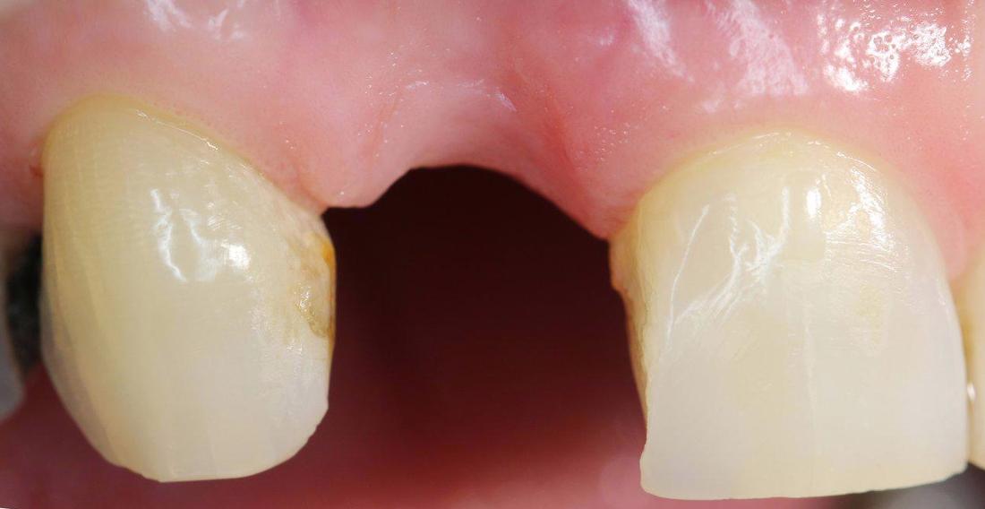
Implant and Veneer

The before picture shows a lateral and chipped central incisor. The after picture shows a lateral incisor replaced by an implant-supported all-ceramic crown and composite resin on the central incisor.

Patients do not have to live with the poor aesthetics of a missing tooth or the poor function of having a gap in their bite. Filling in the space with a dental implant or other restoration not only improves the look of the smile, but it can also restore the chewing function. Leaving a gap in the smile also puts the remaining, healthy teeth at risk of shifting to fill in the space.

It’s a good idea to replacement missing teeth in the smile—not only for aesthetics but for better function as well. For more information about dental implants and veneers, we invite you to contact our Casuarina dental surgery.

Related Services:

Cosmetic Dentistry
Implants
Contact us to learn more or book an appointment.
Any surgical or invasive procedure carries risks. Before proceeding, you should seek a second opinion from an appropriately qualified health practitioner.